ผ่าตัดกระดูกสันหลังหักในผู้สูงอายุ :
ทางเลือกของการรักษาเพื่อการคืนคุณภาพชีวิตอย่างยั่งยืน
นพ.บริวัฒน์ สันติภาษ
อาจารย์ประจำภาควิชาศัลย์ศาสตร์ออร์โธปิดิคส์และกายภาพบำบัด
คณะแพทยศาสตร์ศิริราชพยาบาล ม.มหิดล
ภาวะกระดูกสันหลังหักจากโรคกระดูกพรุน (Osteoporotic Vertebral Fracture – OVF) กำลังกลายเป็นวิกฤตสุขภาพที่สำคัญในสังคมสูงวัยทั่วโลก รวมถึงประเทศไทย ข้อมูลทางสถิติล่าสุดพบว่าจำนวนผู้ป่วยทั่วโลกเพิ่มสูงขึ้นอย่างรวดเร็วถึง 38% โดยขยับจาก 6.2 ล้านคน ในปี 1990 เป็นกว่า 8.6 ล้านคน ในปี 2019 ภาวะนี้มักเกิดขึ้นในจุดที่กระดูกรับแรงกระแทกได้น้อย ทำให้เกิดอาการปวดหลังรุนแรง สูญเสียความสามารถในการเคลื่อนไหว และหากไม่ได้รับการรักษาที่เหมาะสมอาจนำไปสู่ภาวะทุพพลภาพถาวรได้
การจำแนกชนิดของกระดูกหักและแนวทางการรักษา (OF Classification)
ปัจจุบันมีการใช้ระบบการแบ่งชนิดที่เรียกว่า OF Classification (ตามมาตรฐานสมาคมกระดูกและข้อแห่งเยอรมนี – DGOU) เพื่อแบ่งระดับความรุนแรงตามลักษณะความเสียหายของกระดูกสันหลังออกเป็น 5 ระดับ (OF 1–5) กลุ่มที่พบมากที่สุด: คือชนิด OF3 (พบประมาณ 42%) ซึ่งมีการยุบตัวของกระดูกค่อนข้างมาก และชนิด OF4 (พบประมาณ 27%) ที่มีความเสียหายรุนแรงทั้งส่วนบนและส่วนล่างของปล้องกระดูก
การรักษาที่แตกต่าง: หากเป็นกระดูกหักชนิดไม่รุนแรง (เช่น OF1 หรือ OF2) แพทย์อาจแนะนำการรักษาแบบไม่ผ่าตัด เช่น การใส่เสื้อพยุงหลังร่วมกับการทำกายภาพบำบัด สำหรับกระดูกหักชนิด OF3-5 ที่มีความไม่มั่นคงของกระดูกสูง แพทย์มักจะแนะนำการรักษาด้วยการผ่าตัดด้วยวิธีต่างๆที่เหมาะสมกับชนิดของกระดูกหัก เช่น การใส่สกรูโลหะเพื่อยึดตรึงกระดูก การฉีดซีเมนต์ หรือการผ่าตัดเสริมโครงสร้างกระดูก อย่างไรก็ตาม การตัดสินใจรักษายังคงขึ้นอยู่กับดุลยพินิจของแพทย์ผู้รักษา
ความท้าทายในการรักษา: เลือกวิธีไหนให้ผู้ป่วยกลับมาเดินได้ดีที่สุด?
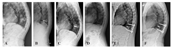
ปัจจุบันมาตรฐานการผ่าตัดรักษากระดูกสันหลังหักจากโรคกระดูกพรุนชนิด OF3-4 ซึ่งพบได้บ่อยมี 2 วิธีหลักที่นิยมใช้: การฉีดซีเมนต์เสริมกระดูก (Vertebroplasty): เน้นการฉีดสารเชื่อมกระดูกเข้าไปในจุดที่หักเพื่อลดความเจ็บปวด และการใส่สกรูยึดตรึงร่วมกับการฉีดซีเมนต์ (Short-segment posterior instrumentation with vertebroplasty) ซึ่งเป็นการผ่าตัดที่ซับซ้อนขึ้นโดยใช้สกรูโลหะช่วยพยุงโครงสร้างร่วมกับการเสริมซีเมนต์ แม้ว่าการฉีดซีเมนต์อย่างเดียวจะเป็นวิธีที่ทำได้รวดเร็ว แต่คำถามที่ทีมวิจัย ต้องการคำตอบคือ ” วิธีไหนจะช่วยให้ผู้ป่วยมีคุณภาพชีวิตที่ดีกว่ากัน?”
ผลการวิจัย จากการติดตามผลที่ระยะเวลา 1 ปี ภายหลังการผ่าตัด พบผลลัพธ์ที่สำคัญดังนี้
– คุณภาพชีวิต (Quality of Life): กลุ่มใส่สกรูยึดตรึงร่วมกับการฉีดซีเมนต์ มีผลลัพธ์ที่ดีกว่าอย่างมีนัยสำคัญทางสถิติ โดยมีคะแนนดัชนีความบกพร่องทางกายภาพ (ODI) และมีคะแนนคุณภาพชีวิต (EQ-5D) ที่ดีกว่า
– ผลลัพธ์ทางรังสีวิทยา (Radiographic Outcomes): การจัดแนวกระดูกสันหลังในกลุ่มใส่สกรูยึดตรึงร่วมกับการฉีดซีเมนต์สามารถแก้ไขมุมโก่ง (Sagittal angle correction) ได้ดีกว่า
– ข้อมูลระหว่างการผ่าตัด: กลุ่มใส่สกรูยึดตรึงร่วมกับการฉีดซีเมนต์ มีระยะเวลาการผ่าตัดที่นานกว่าและมีการเสียเลือดที่มากกว่ากลุ่ม VP อย่างมีนัยสำคัญ
– ความปลอดภัย: ไม่พบความแตกต่างอย่างมีนัยสำคัญทางสถิติในด้านอัตราการเกิดภาวะแทรกซ้อน การเพิ่มขึ้นของมุมโก่ง (Kyphotic progression) การหักของกระดูกระดับใกล้เคียง และอัตราการผ่าตัดซ้ำ
บทสรุป
การรักษาผู้ป่วยกระดูกสันหลังหักจากโรคกระดูกพรุนด้วยวิธี ใส่สกรูยึดตรึงร่วมกับการฉีดซีเมนต์ให้ผลลัพธ์ในการจัดแนวกระดูกทางรังสีวิทยาและคุณภาพชีวิตของผู้ป่วยที่ดีกว่าการฉีดซีเมนต์ เพียงอย่างเดียวในระยะ 1 ปีหลังผ่าตัด แม้จะมีความเสี่ยงด้านการเสียเลือดและระยะเวลาการผ่าตัดที่เพิ่มขึ้น ทั้งนี้ ศัลยแพทย์จะพิจารณาวิธีการรักษาในแต่ผู้ป่วยแต่ละรายให้เหมาะสมโดยใช้ข้อมูลหลากหลายอย่าง นอกจากภาพรังสีวินิจฉัยเพียงอย่างเดียว





